Before and After Smile Gallery

Check out some before & after photos of our orthodontic patients treated at Harmony Smiles Orthodontics.

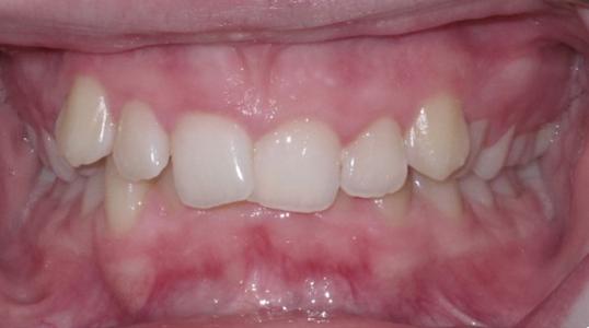
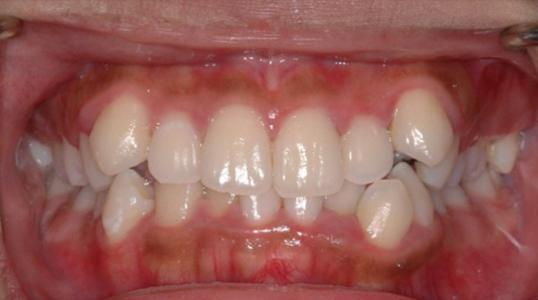
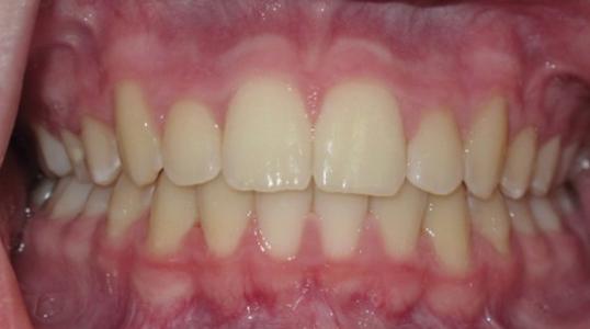
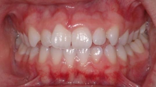
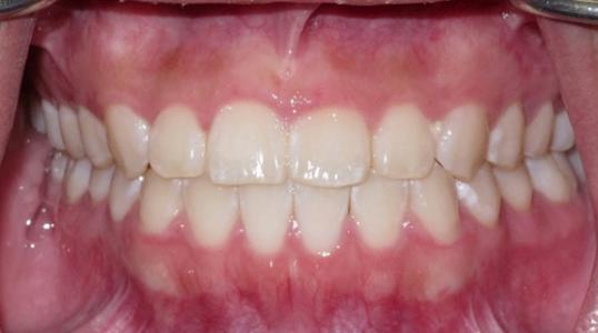
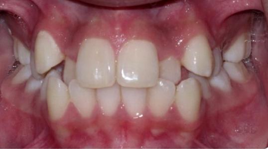
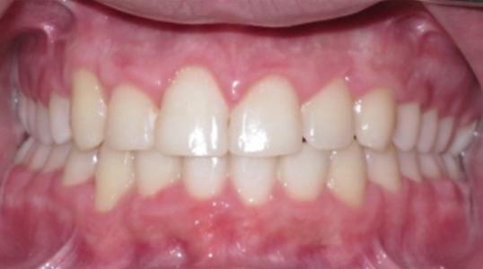
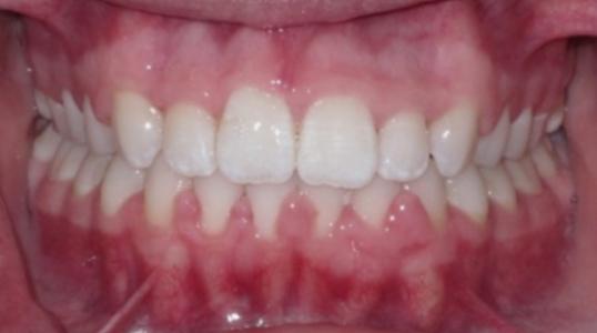
Case 1

Case 1 Before Picture

BEFORE

Case 1 After Picture

AFTER

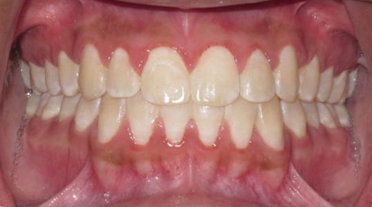
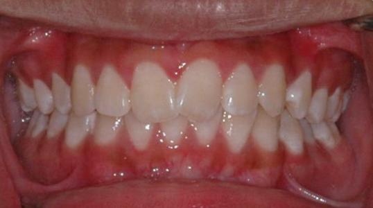
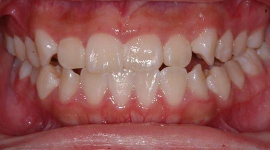
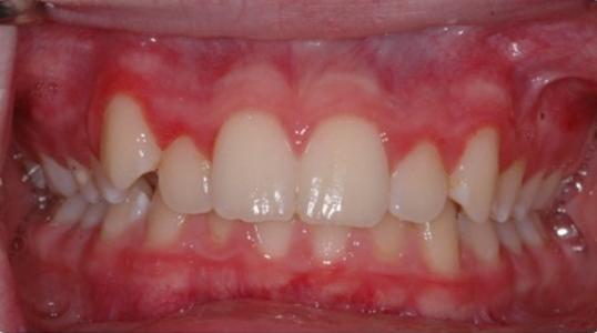
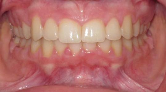
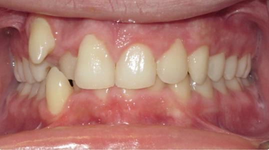
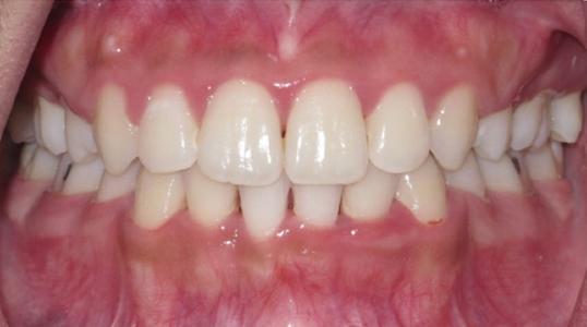
Case 2

Case 2 Before Picture

BEFORE

Case 2 After Picture

AFTER

Case 3

Case 3 Before Picture

BEFORE

Case 3 After Picture

AFTER

Case 4

Case 4 Before Picture

BEFORE

Case 4 After Picture

AFTER

Case 5

Case 5 Before Picture

BEFORE

Case 5 After Picture

AFTER

Case 6

Case 6 Before Picture

BEFORE

Case 6 After Picture

AFTER

Case 7

Case 7 Before Picture

BEFORE

Case 7 After Picture

AFTER

Case 8

Case 8 Before Picture

BEFORE

Case 8 After Picture

AFTER

Share this page:

Why Harmony Smiles Orthodontics

Free Consultation (Including Photos and X-rays)
Direct Billing to Insurance
Affordable Interest-Free Payment Plans
No Referrals Needed
Convenient Location

Make your dream smile a reality!

Your first consultation with us is completely free of charge and comes with no obligation. Don't have a referral from a dentist? No problem! We welcome new patients and will make you feel at home right away.

Book Appointment Contact Us